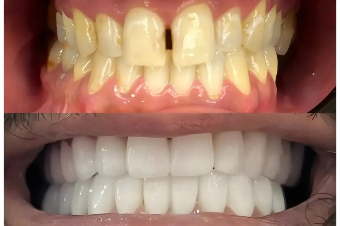
Gappy teeth (diastema) refers to the presence of gaps between your teeth. These gaps can occur anywhere in your mouth, but are most commonly seen between the front two teeth. This is usually an aesthetic issue, but can sometimes be associated with gum disease.

It is normal for children to have gaps between their baby teeth. As the child grows and the baby teeth are replaced by adult teeth, these gaps will naturally close. In some cases, diastema may resolve on its own. However, if one or more gaps remain between your teeth after all your adult teeth have come in, it is advisable to see a dentist.
At our Wink Smile Turkey dental clinic, we offer simple, quick, and one-day treatments to close these gaps between teeth. Diastema treatments include tooth bonding, porcelain veneers, and braces. If you have gaps between your teeth, it is important to take extra care of your oral health. Interdental brushes or water flossers will make it easier to clean the gaps between your teeth.
What is gappy teeth?
Gappy teeth (diastema), commonly known as "gapped teeth," are a common dental problem that can occur in both teenagers and adults. While they are most common in the upper front teeth, they can also occur in the lower teeth. This space between the teeth can be aesthetically distressing for some people.
How do gappy teeth affect my oral health?
While gaps in the front teeth are generally considered an aesthetic concern, they can also affect oral health in some cases. Diastema, the space between teeth, usually poses no health threat. However, health problems such as gum disease can be a contributing factor. These gaps can lead to gum infections such as periodontitis, and therefore require treatment.
Furthermore, large gaps in the front teeth can prevent proper alignment of teeth. This can leave insufficient space for other teeth to fit properly, leading to crooked teeth. This can cause discomfort when biting and chewing. Furthermore, some people may experience low self-confidence and be hesitant to smile due to this aesthetic concern.
What causes gappy teeth?
Gaps between teeth can occur due to a variety of factors and can lead to both aesthetic and functional problems:
- First, a mismatch between the size of the teeth and the size of the jawbone is a common cause of gaps between the teeth. If the jawbone is larger than the size of the teeth, gaps can naturally occur between the teeth. If the teeth are too small, teeth crowding can occur. Furthermore, some genetic factors can cause these types of gaps to run in families.
- Missing or small teeth can also lead to diastema formation. Teeth that are smaller than other teeth, especially the upper lateral incisors, can increase the gap between the teeth.
- Furthermore, an excessively large labial frenulum (the tissue connecting the lips to the gums) can also be one of the causes of gaps. This condition can cause gaps to form by narrowing the space between the teeth.
- Gum disease can also cause gaps between teeth. Advanced gum inflammation can weaken the bone around the teeth, causing the teeth to move and thus increasing the gaps.
- Similarly, incorrect tongue movements (such as tongue thrusting) and an incorrect swallowing reflex can also trigger gaps by putting pressure on the teeth.
- Finally, temporary gaps may occur in children due to the loss of milk teeth. However, these gaps usually close when the permanent teeth come through.
How do you fix gappy teeth?
Correcting gaps between teeth is possible with several different treatment options. Treatment can vary depending on the cause and severity of the gap. Here are some common methods for correcting gaps between teeth:
Cosmetic treatments for gappy teeth
Gappy teeth can cause both aesthetic concerns and functional problems. Various cosmetic treatment options are available to correct these gaps. Treatment is determined by the cause of the gap and the individual's aesthetic needs.
Braces and Clear aligners
Large gappy teeth can be corrected with braces. Clear aligners offer a discreet and comfortable alternative. These two methods are effective treatment options for aligning your teeth.
Dental veneers
For smaller gaps, dental veneers can be used. Veneers are thin shells made of porcelain or composite materials that close gaps while giving your teeth a natural look.
Composite bonding
Your dentist can fill the gap with a tooth-coloured composite resin material. The resin is then hardened with a light source.
Dental implants
Dental implants offer an ideal solution for gaps caused by missing teeth. Implants are titanium or ceramic screws that are placed in the jawbone and a dental crown is attached, closing the gap. Additionally, implant treatment does not require any changes to the adjacent teeth.
Bridges
If the gap between your teeth is caused by a missing tooth, your dentist may recommend a bridge to replace it. However, for this bridge to be suitable, there must be healthy teeth on either side of the gap.
Frenulumectomy
In some cases, a thick frenulum (the tissue between the lip and gums) may be causing the gap. This tissue can be released through a surgical procedure called frenulumectomy. This procedure is usually performed in conjunction with other treatments such as braces or crowns.
Gum disease treatments for gappy teeth
Gappy teeth can sometimes occur due to gum disease and, if left untreated, can lead to more serious problems. Treatment for gum disease stops the infection and lets the gums heal properly. The first step is to get rid of the tartar on the gums. Scaling gets rid of harmful bacteria on the gums and stops the infection from spreading. Antibiotics can also help get rid of the infection quickly.
In severe cases, surgical intervention may be required to clean deep tartar deposits beneath the gums. During this procedure, the dentist opens the gums to remove tartar from the roots and initiate the healing process. Once the gums are healthy, cosmetic treatments can be used to close existing gappy teeth.
Prevention of gappy teeth
While it's not always possible to completely prevent gaps between teeth, some preventative steps can reduce the risk and improve treatment. However, if gum disease or habits are the cause, practicing good oral hygiene can help, including:
- Brushing twice a day
- Flossing daily
- Seeing the dentist for regular checkups and cleanings
- Helping children break their thumb-sucking habit
- Correcting any swallowing reflexes.
Also, if your gap is genetic, while there's no way to completely prevent it, you can minimize the risk of an infection-caused diastema with the care instructions above.
When should I see my dentist?
In most cases, gappy teeth are nothing to worry about. They do not affect your oral health or function. In fact, the gap between your teeth is considered a sign of beauty and attractiveness in many cultures around the world. However, if such gaps cause discomfort or concern about appearance, it is important to consult a dentist. If you decide to close the gap between your teeth, the cosmetic dental treatments at our Wink Smile Turkey dental clinic can help you achieve the healthy, beautiful and long-lasting smile you desire.
FAQs about Gappy Teeth
Will the gap come back after treatment?
After gaps between teeth have been fixed, especially if braces were used, it's important to wear retainers. This helps keep the teeth in their new places. When you get bonding or veneers, the results usually last forever, but you need to take care of them regularly.
How long does it take to close gaps between teeth with clear aligners?
The length of treatment with clear aligners changes based on how big the gap is. Results can usually be seen in 3 to 6 months for mild cases of diastema. If there are a lot of gaps or the bite correction is more complicated, the treatment can take 6 to 12 months or longer.
Does flossing cause diastema?
There is no scientific evidence that flossing causes gaps between teeth. On the contrary, proper flossing helps prevent gum disease and plaque build-up between teeth.
Do the gaps between teeth widen as we age?
As we age, our teeth can shift and even separate from one another. This can increase the gaps between teeth. However, it is important to see a dentist to ensure that tooth movement is not caused by a health issue such as gum disease.
How long does it take to close gaps with braces?
The length of time it takes to fix diastema with braces depends on how big the gaps are and how well you respond to treatment. Usually, treatment lasts between 6 and 10 months. The treatment will take longer if the case is more complicated or there are more gaps.